
Пневмония у ребенка
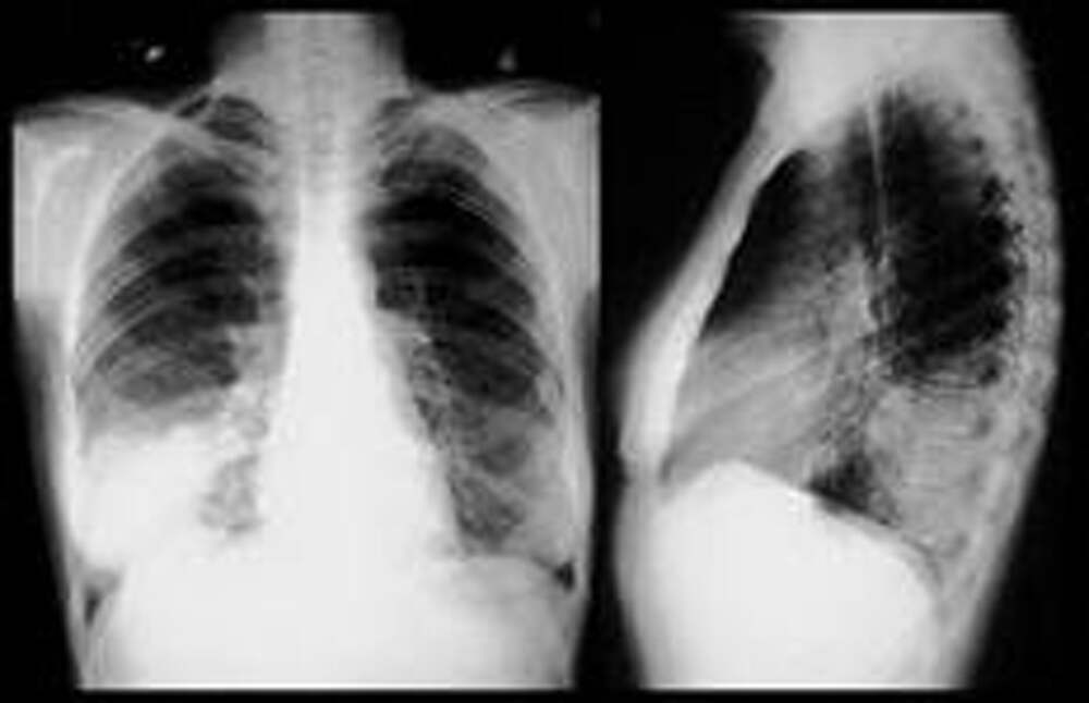
Если воспалительный процесс, поражающий органы дыхания, распространяется на мельчайшие легочные пузырьки-альвеолы, составляющие основу легкого, то возникает заболевание, называемое пневмонией. Особенно часто болеют пневмонией дети первого года жизни. Несмотря на имеющиеся высокоэффективные методы
...Далее